目次
[ライジングディープテック]医療従事者の方からAIを使用、本当の転換点が訪れた
– 警戒対象から同伴者へ…1年で売上865%成長、「医療AIの大逆転」
デジタルデイリーとMark&Company(マーク&カンパニー)のスタートアップ成長分析プラットフォーム「革新の森」は人工知能(AI)を中心としたディープテック市場分析と成長企業の発掘に力を注いでいます。 「この市場で、この企業がなぜヒットしたのか?」 を「ライジングディープテック」としてシンプルにまとめます。
万年有望産業だった医療AI市場に、最近興味深い雰囲気の変化が生まれています。長い間、AIソリューションの導入を警戒していた医療従事者たちがいつからかAIを「同伴者」または「パートナー」として認めるという認識転換がなされ始めたのです。その結果、昨年から中型・大型病院から個人病院まで、現場でのAIソリューション導入需要は大幅に増加したと伝えられています。そのおかげで、長い冬に耐えていたスタートアップの中にも、注目すべき成長傾向を見せ始めた会社が徐々に現れています。
もちろん、これまで医療AI市場の成長を妨げていた要因が完全に解決されたわけではありません。代表的なものとして▲医療用AI学習データ収集の難しさ▲業界の期待値より低い医療報酬(診療費)▲保守的な政府規制などがあります。
しかし、千里の道も一歩から。現場に導入するだけで長い説得過程が必要だった「診断補助ツール」から、医療従事者の方からアクセスする「パートナーソリューション」へ認識が変わったということだけでも、業界ではこれまで以上に成長への期待感が高まっています。また、病院内のAI需要が増加するほど、政府の規制緩和にも肯定的な影響があると期待されています。今日のライジングディープテックでは、韓国内外の医療AI産業の過去の足跡と注目すべき成長スタートアップ2社をわかりやすく紹介していきます。

ChatGPT生成イラスト
分析精度90%以上…成功は当然のものに思われた
医療用AI診断補助ソリューションは、2010年代に「ディープラーニング」技術の登場とともに可能性に注目され始めました。初期のディープラーニング技術は、特に画像中の特徴分析において、非常に優れた性能を見せました。当時、医療AIスタートアップは、これを主に患者のX線、CT/MRI写真を分析プロセスに使用するという方法で医療従事者の誤診率の減少、診断に要する時間の短縮サポートをするという試みに集中していました。
さらに驚くべきことに、2020年頃、このような映像医学系のAI診断補助ソリューションはすでに平均95%以上の精度を誇っていました。関連製品群は脳、眼球、肺などの主要臓器をはじめ、疾患別特化ソリューションなどに細分化されており、それに応じて多数のスタートアップが設立され、初期医療AI市場形成に大きな貢献をしたと評価されています。現在、米国FDA承認医療AI機器の約70%が映像医学分野のAIソリューションであると知られています。

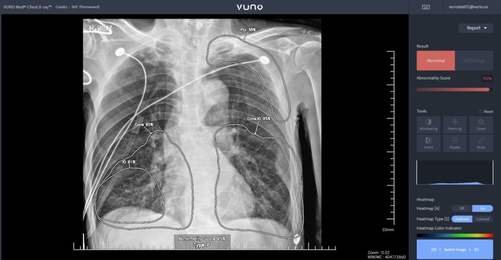
「VUNO(ビューノ)」のAIベースの胸部X線読み取りソリューション「VUNO Med®-Chest X-ray™」使用画面(出典:VUNO)
その後ふたたび、患者の各種生体データを分析し、緊急事態の発生、疾患の発症、死亡の危険性などを予測する早期警告型AIシステムが市場の注目を集めました。さらに患者を越えて医療スタッフの単純な繰返業務(診療中の会話録作成、電子義務記録整理など)に代わるAIも続々と登場し、AIはいつのまにか医療現場の心強い同伴者として位置づけたように思われました。
誤解、先入観との長い戦い
しかし、現実は違いました。医療現場で「AIができること」は多くありましたが、いざ受け入れてくれる病院と医師は不足していたのです。実際、2022年米国病院協会(AHA)のデータを分析した海外論文によると、当時、米国の病院のうち、AIを導入していたのはわずか18.7%のみであったことが分かっています。また、そのうち高度化された水準でAIを活用しているのは3.8%のみであることが確認されています。米国は当時もAI先進国に挙げられていたため、期待よりもかなり低い活用水準だったといえるでしょう。
当時、米国の病院でAIが歓迎されなかった主な理由には、限られた予算(35%)と不確実な投資収益(30%)が挙げられました。これは、初期の医療AIソリューションは、医療スタッフの生産性と収益性の増加など、いかなる面でも病院にそれほど魅力的な投資の対象ではなかったということを意味しています。
同時期、韓国の病院でもAIの評価は同様のものでした。 ▲実戦においては誤診が少なくないという認識 ▲ユーザー環境(UX)が使いづらい ▲医師の職業安定性の低下など、不満や懸念が少なくありませんでした。一部では先入観や誤解だ、という声もありましたが、このような雰囲気の中でスタートアップが適正に製品を販売するのは容易ではなかったでしょう。一方、分野の特性上、研究開発(R&D)費用が高く、相対的に認知度の高いスタートアップでも赤字を免れられなかったのが現実でした。
真心と努力は通じる、あきらめなければ
このような状況に本格的な変化が生まれたのは2024年です。Microsoft(マイクロソフト)、IDCの共同調査によると、当時世界の医療機関の79%がAIを導入したことが分かっています。また、brown&company(ブレーン&カンパニー)の調査によると、医療機関の54%がAI導入後1年以内に意味のあるROI(投資対成果)を経験したと回答しています。わずか2~3年で急激な認識変化が起きたのです。
業界では「根気が通じた」と言われました。実際、医療市場は元々非常に保守的です。人の命を扱う仕事であるだけに、特に医療事故への警戒心が高いゆえのことでしょう。医師という職業も韓国で最も待遇の良い専門職に属しています。病院や医師の安定性を揺るがしかねない外部干渉であるという点においても、彼らが友好的な態度ではなかったことはある意味当然だと言えるでしょう。
このような保守的な市場の扉を開くには、継続的なノックはもちろん、確実な導入価値を証明することが重要です。幸いなことに、前述のように、AI技術自体は現場で医療従事者を十分にサポートできる性能と潜在力を見せてきました。これをもとに業界では医療スタッフのフィードバックを継続的に受け、食品医薬品安全処や米国FDAなど信頼性確保のための認証獲得にも多くの努力を傾けました。内部的には着実な研究を進め、関連成果を主要学会で発表するなど、学界や教員からの認識向上にも多くの力を注ぎました。
長年にわたるこのような努力は、ついに差別化された競争力の発掘に乗り出した中型・大型大学病院の先制的な医療AIソリューション導入の動きに伴い、変化の扉を開き始めました。続いて彼らの事例をリファレンスとして中小病院も導入に活発になる好循環効果も現れました。
また、コロナの大流行と医療政策問題による医療関係者の不足現象も医療AI導入の必要性を高めた要因でした。AIの真価を知った大型病院の教授らがスタートアップに合流したり、自ら起業したりする事例も増加し、製品販売チャネルも以前より多様になりました。何よりも、その性能と安定性が大きく改善されたAIソリューションも医療スタッフの心を動かすのに十分なものでした。

4月30日SparkLabs(スパークラボ)とDREAMPLUS(ドリームプラス)が共同開催した「AI・バイオヘルスの未来スタートアップフォーラム」の様子
実際に4月にSparkLabsが主催したフォーラムでAI内視鏡開発企業waycen(ウェイセン)のキム・ギョンナム代表は「内視鏡施術中、実質的なAIのサポートを受けるという体験が増えるにつれ、今ではAIを同伴者のように感じていると医療従事者が話していた」と現場の雰囲気を伝えました。特に私たちはこの「同伴者」という表現が他の誰でもなく、高い壁のようだった医療スタッフの口から直接出てきたということの象徴性に注目する必要があります。
このような市場の雰囲気の変化は、医療AI企業にとって、干ばつの末に降った恵みの雨のように感じられるでしょう。これを機に、全力でチャンスを掴まなくてはならない決心にもつながります。実際に革新の森が集計した韓国AIスタートアップ成長指標を分析した結果、昨年、売上高、雇用成長の面で注目される2つの医療AI専門企業がありました。AITRICS(AIトリックス)とPuzzle AI(パズルAI)です。
成長企業発掘① – AI TRICS
その中で、AI TRICS(AIトリックス)の昨年の売上成長率は驚くべきものでした。2023年9億8000万ウォン(約1.04億円)に過ぎなかった売上が2024年には94億5000万ウォン(約10.03億円)へと、なんと865%も増加したのです。
2016年に設立されたAI TRICSの看板製品は「AITRICS-VC(バイタルケア)」です。EMR(電子義務記録)で収集されたデータ(6種類の生体信号、11種類の血液検査結果、意識状態、年齢など19種類)をAIで分析し、患者の急激な健康悪化の可能性を診断することができます。
具体的には、▲一般病棟入院患者の6時間以内に急性重症イベント(死亡、心停止、集中治療室への転室)が発生する可能性▲4時間以内に敗血症を発症する可能性▲集中治療室における6時間以内の死亡危険度を予測できます。
特に韓国において、患者の急激な死亡を招く高リスク合併症の一つである敗血症を予測できる製品、集中治療室で使用可能な患者の状態悪化予測ソリューションはバイタルケアが唯一となります。病院としては、患者の急死の可能性を下げることができるという点は魅力的であり、それはすなわち病院や医療従事者への信頼度の向上にも影響を与えます。

バイタルケアを使用した複数の患者診断の例(出典:AI TRICS)
関連して、AI TRICS関係者は「特に病院迅速対応チーム(RRT)の業務効率性の向上に直接貢献し、導入病院の信頼度と満足度が高い」と説明しました。実際、昨年バイタルケアの導入需要が大幅に増加し、現在110以上の病院でベット当たり1日単位での使用料を請求する課金モデルが広く使用されており、安定的な売上成長がなされているといいます。
AI TRICSは今年下半期の損益分岐点(BEP)突破、年売り上げ200億ウォン(約21.2億円)達成を目標に提示しました。今年は、これまでの集中治療室と一般病棟を超え、バイタルケアの適用範囲を拡大し、様々な臨床環境に適用できるように製品の高度化に努める方針です。
成長企業発掘② – Puzzle AI
Puzzle AI(パズルAI)は昨年末以降、従業員数が39人から62人に大幅に増加したことで注目を集めました。企業の雇用増加には、通常、事業好調に伴う拡大、または買収合併などが所以しています。Puzzle AIはその両方に該当するケースでした。
2018年に設立されたPuzzle AI)はAI音声認識技術専門企業です。現在、ソウル聖母病院、牙山(アサン)病院をはじめ、ほぼすべての韓国国内の大型病院に自社医療用AI音声認識ソリューション「VoiceEMR」を納品しています。
さらに自社の医療特化AIデータ専門性強化を目的にビッグデータ専門企業「DOUB(ドゥユービー)」を合併したこと、ますます増加する大学病院の需要増加に対応するための人材拡充に乗り出したことが急激な雇用増加がなされた背景だといいます。
音声認識AI技術は、混沌とした診察現場でも入念な記録が要求される診療データ管理において大きな助けとなるそうです。特に昨年の医療政策問題で主要病院内で専攻医が大挙離脱し、関連記録業務に大きな支障が生じました。
Puzzle AIは、当時ソリューションの無料配布をはじめとする、できるだけ多くの病院をサポートするためのキャンペーンに乗り出しました。その結果、現在はVoiceEMRのほか、看護ソリューションである「VoiceENR」、モバイル統合生成型記録ソリューションである「GenNote」など、多数の製品が主要大学病院で成功的に地位を固め、会社の主な成長動力源となっています。近年、嶺南(ヨンナム)地方をはじめとする地方病院の音声認識AI導入需要も増加し、顧客会社の追加確保に対する期待感も高まっています。

VoiceEMR使用画面の例(出典:Puzzle AI)
このほか、眼科用AIソリューション「EyeGen」を米国の有名病院「Mayo Clinic(メイヨ―クリニック)」と共同開発しています。これは売上多様化のための投資としてプールされます。Puzzle AIの関係者は「昨年の売上は45億ウォン(約4.8億円)、今年は60億ウォン(約6.4億円)以上、来年は100億ウォン(約10.6億円)達成とKOSDAQ(コスダック)上場が目標」とし「医療機関の問題解決のためのデータ収集と処理、医療特化音声認識技術と独自LLM(大型言語モデル)保有、ソリューション普及とハードウェアスキル等、全過程において自社が保有する競争力を活用するグローバルAI企業へと生まれ変わる」と強調しました。
原文:https://www.innoforest.co.kr/report/NS00000390
革新の森:https://www.innoforest.co.kr/
マークアンドカンパニー:https://markncompany.co.kr/
